口腔内壁痛,究竟是什么原因引起的? 为了方便您理解,我将这些原因分为几大类,从最常见到相对少见进行介绍。(图片来源网络,侵删) 最常见的非疾病性原因(物理、化学刺激) 这类原因通常疼痛感较明显,但去除刺激源后,伤口会很快愈合。 咬伤或烫伤: 原因:吃饭时不小心咬到自己的脸颊内侧,或者吃太烫的食物(如火锅、热汤)烫伤口腔黏膜。 特点:通...
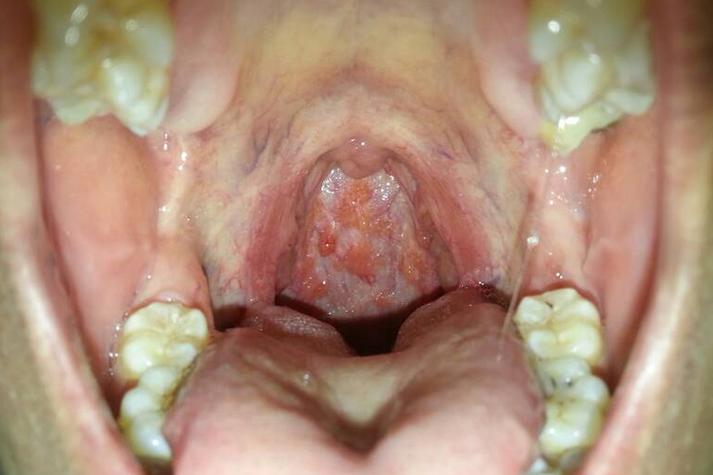
为何口腔溃疡反复长? 口腔溃疡,医学上常称为“复发性阿弗他溃疡”(Recurrent Aphthous Stomatitis, RAS),其确切的病因至今尚未完全明确,但目前医学界普遍认为它是一种多因素共同作用的结果,也就是说,很少是单一原因造成的,而是遗传、免疫、环境等多种因素交织影响。(图片来源网络,侵删) 以下是导...
汉中口腔医院上班时间是几点到几点? (主标题+副标题,兼顾SEO与可读性): 汉中口腔医院上班时间全攻略:2025年最新版,就诊不跑空! 附周末/节假日安排、预约挂号及科室特色,一文读懂(图片来源网络,侵删) 文章正文: 引言:您的口腔健康,我们时刻守护 “医生,汉中口腔医院早上几点上班?我下午去还来得及吗?” “周末能看牙吗?我只有...
苏州华夏口腔医院收费贵不贵? 这是一个非常实际的问题。苏州华夏口腔医院的费用在苏州属于中高端水平,不便宜,但也不是最贵的。 它的价格定位与其“高端”、“私立”的属性是匹配的。(图片来源网络,侵删) 下面我为您详细分析一下,帮助您更好地判断它是否“贵”以及为什么贵。 为什么说它“不便宜”?—— 定位与服务决定了价格 华夏口腔在苏州...
深圳最好的口腔科医院 第一梯队:公立医院(技术权威,适合复杂和疑难病例) 公立医院的优势在于:技术权威、专家力量雄厚、价格透明、医保报销范围广,适合做高难度的种植、正畸、复杂根管治疗、颌面外科手术等。(图片来源网络,侵删) 北京大学深圳医院 核心优势:综合实力最强,是深圳口腔医学界的“领头羊”,口腔科是医院的重点科室,拥...
同速口腔医疗管理软件 同速口腔医疗管理软件是国内口腔医疗信息化领域非常知名的一款产品,由杭州同速科技有限公司开发,它旨在通过信息化手段,帮助口腔诊所、连锁机构实现高效、规范、智能化的运营管理。(图片来源网络,侵删) 下面我将从几个方面为您全面解析这款软件: 核心定位与优势 同速软件的核心定位是“口腔诊所的智慧运营管理平台...
云南口腔医院哪家最好? 这是一个非常好的问题,但答案并不是唯一的,因为“最好”的定义因人而异,云南的口腔医疗资源主要集中在昆明,不同医院各有侧重和优势。(图片来源网络,侵删) 为了给您最精准的建议,我将从医院性质、综合实力、特色专科等角度为您详细分析,并提供选择建议。 顶级公立医院(综合实力最强,疑难杂症首选) 这类医院是...
重医口腔医院北部新区地址在哪? 重庆医科大学附属口腔医院北部院区 (Chongqing Medical University Affiliated Stomatological Hospital North Branch) 重庆医科大学附属口腔医院(简称“重医口腔医院”)是西南地区顶尖的口腔专科医院,拥有多个院区。北部院区是其主要...
西京口腔医院专家有哪些专长与背景? 需要特别说明的是,“西京口腔医院”是大众对西安交通大学口腔医院的习惯性称呼,它与空军军医大学口腔医院(通常被称为“四医大口腔”)是西安最顶尖的两所口腔医院,但并非同一机构,本介绍将聚焦于西安交通大学口腔医院。(图片来源网络,侵删) 西安交通大学口腔医院是西北地区口腔医学的领军者,集医疗、教学、科研于...
口腔溃疡喝什么凉茶好 第一步:判断你的口腔溃疡属于哪种类型? 中医认为,口腔溃疡主要分为两大类,对应着不同的凉茶选择:(图片来源网络,侵删) 心火上炎型(最常见) 典型症状: 溃疡面积较小,但数量可能较多。 溃疡周围红肿热痛非常明显,一碰就疼。 伴有口干、口臭、心烦、失眠、小便黄赤等。 舌头尖发红,舌苔黄。 病因: 通常...