兰州口腔科哪家强?专业医院怎么选? 兰州的医疗资源相对集中,好的口腔科主要集中在几家大型公立三甲医院和一些口碑很好的私立口腔专科医院,下面我为您详细分析一下,并提供选择建议。(图片来源网络,侵删) 公立医院(综合实力强,权威保障) 公立医院的口腔科是兰州口腔医疗的“国家队”,尤其在处理复杂病例、颌面外科手术以及教学科研方面有绝对优势。...
口腔激光治疗费用多少? 单次激光治疗的费用大致在 1000元 至 4000元人民币之间,但请将这作为一个参考范围,具体价格需要根据您所在地区和医院的情况来确定。(图片来源网络,侵删) 下面我将为您详细解析影响费用的主要因素,并给出一些更具体的参考信息。 影响激光治疗费用的主要因素 地区差异 (最重要因素) 一线城市 (如北...
宣武医院口腔二部地址在哪? 核心地址信息 详细地址: 北京市西城区长椿街45号 首都医科大学宣武医院 新门诊楼 5层 邮政编码: 100053 重要提示与补充信息 新门诊楼”:(图片来源网络,侵删) 宣武医院有两个主要门诊区域:老门诊楼和新门诊楼,口腔二部目前位于新门诊楼,请务必留意,走错楼会耽误您的时间。 新门诊楼是主院区内...
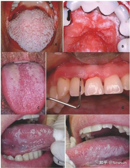
艾滋病初期口腔症状图有哪些典型表现? (图片来源网络,侵删) 任何口腔症状都不能作为诊断艾滋病的依据。 艾滋病的急性感染期症状(包括口腔症状)与许多其他常见疾病(如流感、普通感冒、口腔溃疡等)的症状非常相似,没有特异性。唯一确诊艾滋病的方法是进行专业的HIV抗体/抗原检测。 以下信息仅供科普和参考,不能替代专业医疗诊断。 艾滋病初期(急...
黄冈皓雅口腔医院收费到底贵不贵? 任何正规的口腔医院或诊所都无法提供一个绝对固定、适用于所有人的“价格表”,因为牙科治疗的价格受多种因素影响,差异很大。(图片来源网络,侵删) 我们可以根据市场情况和行业惯例,为您提供一个大致的参考价格范围,并详细解释影响价格的因素,帮助您更好地了解可能的开销。 影响皓雅口腔收费的主要因素 在了解具体...
吸烟会导致口腔溃疡吗? 这是一个非常好的问题,答案是:是的,吸烟确实会引起或加重口腔溃疡,并且会显著增加患上更严重口腔疾病的风险。(图片来源网络,侵删) 我们可以从几个层面来理解这个问题: 吸烟如何直接导致口腔溃疡? 口腔溃疡,学名是“复发性阿弗他溃疡”,其具体病因尚不完全明确,但普遍认为与免疫系统、遗传、精神压力、营养缺...
口腔上腭小疙瘩是何问题?需警惕吗? 下面我为您详细分析一下可能的原因、您可以做的初步观察,以及什么时候应该去看医生。(图片来源网络,侵删) 可能的原因分析 口腔上腭的这个小疙瘩,根据其性质和成因,大致可以分为以下几类: 良性增生或囊肿(最常见) 粘液腺囊肿: 这是最常见的原因之一,口腔内有许多微小的唾液腺(粘液腺),如果它们的导管被堵...
槟榔吃多久会致癌? 这是一个非常重要且严肃的问题,必须明确一个核心观点:(图片来源网络,侵删) 槟榔没有“安全”的食用期限,只要开始吃,罹患口腔癌的风险就会显著增加。 所谓“吃多久会得”这个问题,更像是一个概率和时间的问题,而不是一个固定的期限。 不存在一个“安全”的食用时长,有的人吃几年就中招,有的人吃了几十年也没事...
南京口腔医院儿童牙科怎么样? 南京口腔医院的儿童牙科是其王牌科室之一,在江苏省乃至华东地区都享有极高的声誉,无论是医疗技术、医生团队还是就诊环境,都处于领先水平。(图片来源网络,侵删) 以下是关于该院儿童牙科的详细信息,希望能帮助您更好地了解和选择。 科室简介与特色 南京口腔医院儿童牙科(又称:儿童口腔科)是集医疗、教学、科研为...
南京台安口腔诊所靠谱吗? 这是一个非常常见的问题,但答案并不是简单的“好”或“不好”,因为它取决于您的具体需求、预算和期望,南京台安口腔是一家在南京地区运营多年的连锁口腔机构,拥有一定的知名度和规模。(图片来源网络,侵删) 为了给您一个全面客观的参考,我将从几个方面来分析“南京台安口腔诊所怎么样”,并提供一些选择建议。 台安...