口腔扁平苔藓症状有哪些?
以下是口腔扁平苔藓的主要症状,分为典型症状和伴随症状两大类:
(图片来源网络,侵删)
典型症状(口腔内的表现)
这是最核心的症状,主要发生在口腔黏膜的任何部位,最常见于颊黏膜(内腮帮子),其次是舌部、牙龈、唇部、硬腭等。
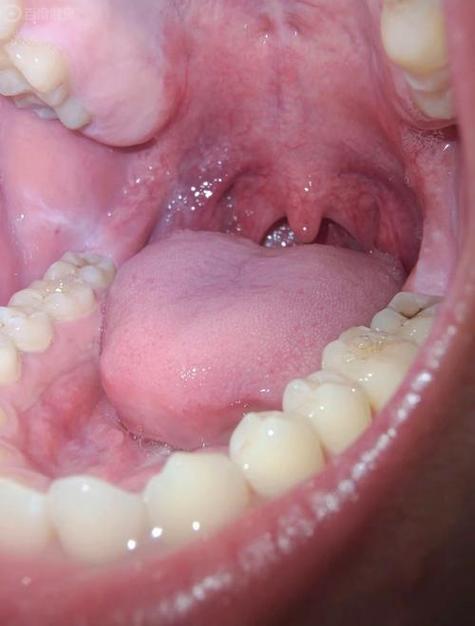
病损形态
这是诊断扁平苔藓的重要依据,常见的形态有:
- 网纹型: 这是最典型的表现,黏膜上出现微小的白色或灰白色条纹,这些条纹交织成网状、树枝状或线状,像蕾丝花边一样,周围的黏膜可能正常或轻微发红。
- 丘疹型: 黏膜上出现针头大小、半透明的丘疹,散在或成簇分布,当这些丘疹融合成片时,就形成了网纹型。
- 斑块型: 出现界限清晰的、白色或灰白色的、稍高于黏膜表面的斑块,质地较硬,类似白斑,需要警惕癌变风险。
- 糜烂/溃疡型: 这是最严重、症状最明显的一种,在网纹或斑块的基底上,出现破溃、糜烂,形成浅表性的溃疡,患者会感到明显的疼痛,尤其在进食辛辣、酸性食物时加剧。
- 萎缩型: 黏膜变薄,呈鲜红色或暗红色,有时可以看到下面红色的血管,有时伴有白色条纹。
- 水疱型: 比较少见,黏膜下出现透明的小水疱,水疱破溃后也会形成糜烂面。
颜色
病变区域通常呈现白色、灰白色或珍珠色,这是由于黏膜下固有层中的炎症细胞浸润,使上皮角化过度所致。
自觉症状
这是患者最直接的感受,症状的严重程度与病损类型密切相关。
(图片来源网络,侵删)
- 疼痛或烧灼感: 尤其在糜烂型中最为明显,患者感觉口腔内有灼热感、刺痛感,疼痛感时轻时重。
- 粗糙感: 患者可能会感觉口腔黏膜不平整,有砂纸感或粗粝感,尤其是在用舌头触摸时。
- 刺激痛: 对热、辣、酸、咸等刺激性食物非常敏感,进食时会感到疼痛加剧。
- 味觉改变: 部分患者可能会感觉味觉减退或异常。
- 口干: 有些患者会伴有唾液分泌减少的感觉。
伴随症状(口腔外的表现)
口腔扁平苔藓是一种系统性疾病,意味着它也可能影响身体其他部位。
- 皮肤损害: 约15%-20%的患者会伴有皮肤扁平苔藓,表现为四肢内侧、躯干、手腕等部位出现紫红色、多角形的扁平丘疹,伴有瘙痒(称为“紫红色多角形丘疹”),搔抓后,皮损表面会出现一条白色的条纹,称为Wickham纹,这是皮肤扁平苔藓的特征。
- 指甲和趾甲损害: 可能出现指甲纵嵴、甲板变薄、甲床游离缘增厚、甲裂或甲萎缩等。
- 生殖器损害: 女性可能出现外阴、阴道黏膜的白色病损,伴有瘙痒或灼痛,男性也可能在阴茎、龟头等部位出现类似病损。
- 其他系统性疾病: 有时扁平苔藓与某些全身性疾病相关,如高血压、糖尿病、肝炎、自身免疫性疾病(如白癜风、红斑狼疮)等,部分研究还发现它与精神压力、焦虑、抑郁等因素有关。
需要注意的特殊情况
- 无症状性: 很多患者(尤其是网纹型)可能没有任何自觉症状,只是在体检或因其他问题看牙医时偶然发现。
- 癌变风险: 虽然口腔扁平苔藓本身不是癌前病变,但糜烂型和斑块型的长期存在,尤其是在牙龈和舌部的病变,有较低的癌变风险(约1%-2%),定期复查非常重要。
- 症状波动: 病情可能会在压力增加、免疫力下降或食用刺激性食物后加重,缓解期则症状减轻或消失。
口腔扁平苔藓的症状主要表现为:
- 视觉上: 口腔黏膜上出现白色网纹、丘疹、斑块或糜烂。
- 感觉上: 可能伴有疼痛、烧灼感、粗糙感和对刺激食物敏感。
如果您怀疑自己有口腔扁平苔藓的症状,强烈建议及时就医。 口腔科医生或口腔黏膜科医生通过肉眼观察,必要时结合病理活检(取一小块组织在显微镜下检查)来确诊,早期诊断和规范治疗可以有效控制症状、减少复发,并监测潜在的癌变风险。
(图片来源网络,侵删)
文章版权及转载声明
作者:99ANYc3cd6本文地址:https://www.schc.com.cn/post/1651.html发布于 2025-12-01
文章转载或复制请以超链接形式并注明出处世康健康网



