口腔全景片与CT,检查该选哪个?
口腔全景片 vs 口腔CT:一张图看懂区别,不再傻傻分不清!
** 牙疼了该拍哪种片子?种植牙前必须做CT吗?面对医生开的“全景片”或“口腔CT”,你是不是也曾感到困惑?本文将由资深口腔专家为您深度解析这两项检查的核心差异、适用场景,教你如何根据自身情况做出最明智的选择,告别检查焦虑,让看牙更安心!
引言:看牙前的“第一道关卡”——影像检查
“医生,我牙疼,要不要拍片子?” “医生,我想种牙,是不是要做一个CT?”
几乎每一位走进口腔诊所的患者,都可能面临这样的选择,口腔影像检查,就像是医生探索我们口腔内部的“眼睛”,是精准诊断和治疗规划的基石。口腔全景片和口腔CT(通常指锥形束CT,CBCT)是最常见的两种检查方式。
但它们究竟有何不同?哪个辐射更大?哪个看得更清楚?我们就来一次性把这个问题讲透,让你彻底明白,什么时候该拍“全景”,什么时候又必须上“CT”。
第一部分:初识影像“双雄”——它们到底是什么?
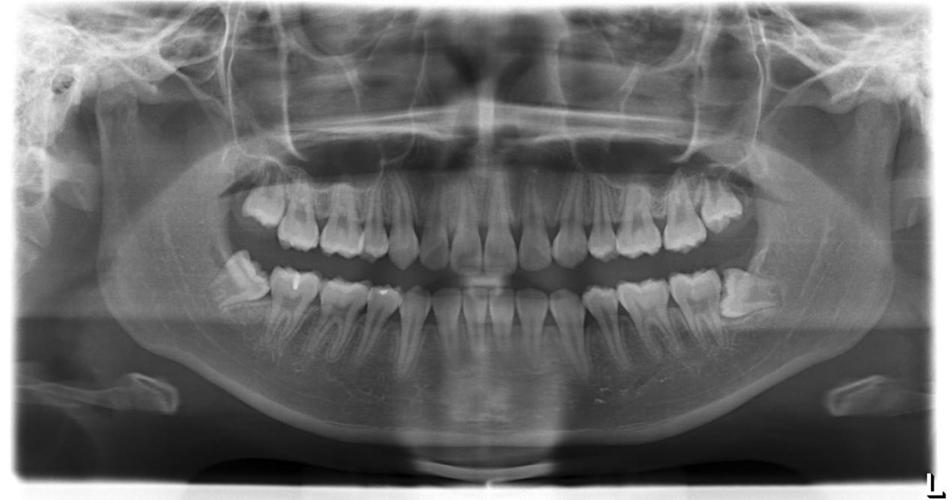
口腔全景片(OPG / Panoramic X-ray)——口腔的“全身照”
- 一句话概括: 它就像一张我们口腔的“全身照”,将上下颌骨、牙齿、牙槽骨、颌骨、上颌窦等重要结构,在一个二维平面上完整地展示出来。
- 工作原理: X球管和探测器围绕患者的头部做360°旋转,通过特殊的运动轨迹,将三维的口腔结构“展开”成一张二维图像。
- 它能告诉我们什么?(优点)
- 视野广: 一次性看全所有牙齿和颌骨的大致情况,是口腔检查的“入门级”利器。
- 操作快: 整个过程只需10-15秒,患者配合简单。
- 辐射低: 辐射剂量相对较小,约为0.02-0.05mSv,非常安全。
- 性价比高: 价格通常在100-300元之间,适合作为常规检查。
- 它的局限性在哪里?(缺点)
- 二维成像: 所有结构都重叠在一张平面上,存在放大、失真和重叠效应,两颗牙重叠在一起,可能误判为一颗;牙根的实际长度和位置可能不准。
- 细节模糊: 对于牙根尖的细微病变、骨密度的精确判断、神经血管的走行等,分辨率不足。
口腔CT(CBCT)——口腔的“3D立体导航”
- 一句话概括: 它是口腔领域的“CT扫描”,能生成我们口腔颌面部高精度的三维立体图像,就像一个“立体导航系统”。
- 工作原理: X射线围绕患者头部做360°旋转,探测器采集数据后,通过计算机软件重建出三维的、可任意旋转、切割、放大的数字模型。
- 它能告诉我们什么?(优点)
- 三维立体: 清晰展示牙齿、颌骨、神经、血管的立体结构和空间关系,无重叠干扰。
- 精度极高: 可以精确测量骨量、牙根长度、角度,分辨出0.1毫米级别的细微病变。
- 信息全面: 能清晰显示牙槽骨的厚度、高度、密度,以及重要的解剖结构,如下牙槽神经管、上颌窦等。
- 它的局限性在哪里?(缺点)
- 辐射相对较高: 虽然其辐射剂量已控制在安全范围内(通常为全景片的2-10倍,约0.1-0.5mSv),但仍高于全景片。
- 价格较贵: 单次检查费用通常在300-800元不等。
- 非必需: 对于简单的检查,属于“杀鸡用牛刀”,性价比不高。
第二部分:核心对决——全景片 vs 口腔CT,我该怎么选?
这是大家最关心的问题,别急,我们直接上表格,一目了然!
| 对比维度 | 口腔全景片 | 口腔CT (CBCT) |
|---|---|---|
| 成像维度 | 二维平面图 | 三维立体图像 |
| 辐射剂量 | 低 (约0.02-0.05mSv) | 相对较高 (约0.1-0.5mSv) |
| 检查费用 | 低 (约100-300元) | 较高 (约300-800元) |
| 检查时间 | 短 (约10-15秒) | 稍长 (约20-40秒) |
| 核心优势 | 视野广,快速筛查,性价比高 | 精度高,立体直观,信息全面 |
| 主要适用场景 | • 常规口腔检查和诊断 • 智齿定位(初步判断) • 牙周病(牙槽骨整体情况) • 根尖周炎(根尖大致病变) • 儿童牙齿发育情况 |
• 种植牙术前评估(精准测量骨量) • 复杂牙体根管治疗(寻找额外根管) • 正畸方案设计(分析牙根、骨量) • 颌骨囊肿、肿瘤等疾病的精确诊断 • 颞下颌关节疾病的评估 • 牙种植体、阻生牙手术的术前导航 |
第三部分:专家建议——我的情况,到底该拍哪个?
为了让您更直观地理解,我们模拟几个常见的看牙场景:
-
常规洗牙、补牙,医生说我有个大洞。
- 选择:口腔全景片。
- 专家解读: 对于常规的口腔检查,全景片足以了解牙齿的整体排列、牙槽骨的大致健康状况,医生可以通过它来发现蛀牙、牙周炎等问题,并制定基础的治疗计划,这是性价比最高的选择。
-
我有一颗智齿反复发炎,医生建议拔除。
- 初步选择:口腔全景片。
- 专家解读: 全景片可以初步判断智齿的生长位置(正位、水平、垂直阻生)、与邻牙的关系以及下颌神经管的大致位置,如果智齿位置不复杂,拔除前拍全景片即可,但如果位置很深、紧贴神经,医生可能会进一步要求拍口腔CT,以精确评估神经与牙根的距离,制定最安全的拔牙方案,避免损伤神经。
-
我缺了一颗牙好几年,想做种植牙。
- 必须选择:口腔CT。
- 专家解读: 这是口腔CT的“王牌应用”,种植牙相当于在颌骨里“种”一颗螺丝钉,需要非常精确,CT能提供三维立体图像,医生可以:
- 精准测量: 精确计算牙槽骨的宽度、高度和密度,判断是否足够容纳种植体。
- 规划路径: 设计种植体植入的最佳位置、角度和深度,避开下牙槽神经管和上颌窦等重要解剖结构。
- 数字化导板: 基于CT数据,可以制作3D打印手术导板,实现微创、精准的种植手术,大大提高成功率。没有CT,种植牙手术就是“盲操作”,风险极高。
-
我需要做复杂的根管治疗,但牙齿一直治不好。
- 强烈建议:口腔CT。
- 专家解读: 有些牙齿的根管系统非常复杂,比如存在弯曲、钙化或侧副根管,在二维全景片上,这些细微结构很难看清,CT可以从任意角度观察,帮助医生找到所有根管,清理彻底,从而提高根管治疗的成功率。
没有“最好”,只有“最合适”
口腔全景片和口腔CT,并非相互替代的关系,而是互为补充的“黄金搭档”。
- 口腔全景片是口腔检查的“侦察兵”,快速、全面、经济,适合作为常规筛查和初步诊断。
- 口腔CT是疑难杂症的“特种兵”,精准、立体、深入,是复杂治疗(如种植、正畸、外科手术)不可或缺的“导航仪”。
最终的选择,取决于您的具体病情和治疗需求,专业的口腔医生会根据您的口腔状况,为您选择最恰当、最必要的影像检查方式,作为患者,您不必过度焦虑辐射或费用问题,因为医生的选择始终是基于“获益远大于风险”的原则,目的是为了给您带来最安全、最有效的治疗。
希望这篇文章能帮助您彻底搞懂口腔全景片和口腔CT的区别,下次看牙时,您就能更从容地与医生沟通,共同守护您的口腔健康!
#口腔健康 #口腔全景片 #口腔CT #看牙攻略 #种植牙 #正畸 #牙科知识
作者:99ANYc3cd6本文地址:https://www.schc.com.cn/post/2774.html发布于 2025-12-03
文章转载或复制请以超链接形式并注明出处世康健康网


