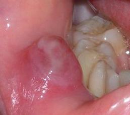
口腔粘液腺囊肿自愈吗
这是一个非常常见的问题,关于口腔粘液腺囊肿是否会自愈,答案是:有自愈的可能,但概率不高,并且不推荐等待自愈。
(图片来源网络,侵删)
下面为您详细解释原因、正确的处理方式以及为什么不建议等待。
口腔粘液腺囊肿为什么会形成?
首先要了解它的成因,口腔粘液腺囊肿通常是由于唾液腺导管(小管道)被堵塞或破裂,导致分泌的粘液无法正常排出,积聚在腺体或周围组织中形成的。
最常见的原因是:
- 轻微外伤:比如不小心咬到嘴唇、脸颊或舌头内侧的软组织,导致小导管受损。
- 导管阻塞:导管口的炎症、微小结石等也可能导致堵塞。
为什么说它“有可能”自愈?
囊肿的自愈,通常发生在极早期、体积非常小的情况下,这种情况下的自愈机制是:
(图片来源网络,侵删)
- 导管暂时性堵塞:可能只是因为一次偶然的咬伤,导致导管轻微水肿或被血凝块暂时堵住。
- 身体自行修复:如果身体没有再次受到刺激,并且导管没有完全破裂,几天后水肿消退或堵塞物被清除,唾液就能重新正常流动,囊肿就会随之消失。
- 内容物吸收:对于非常小的囊肿,其内部的少量粘液也可能被身体慢慢吸收。
这种情况比较少见。 大多数情况下,导管已经形成了破裂或永久性的狭窄,导致粘液持续渗漏和积聚。
为什么“大概率”不会自愈,甚至更严重?
一旦囊肿形成,它通常不会自己消失,反而可能带来以下问题:
- 导管持续受损:囊肿壁就是由破裂的导管组织增生形成的,它像一个“漏水的袋子”,会不断地渗出粘液,导致囊肿反复发作。
- 囊肿会增大:每次渗出一点,囊肿就会长大一点,当您吃东西、说话时,摩擦会刺激它,让它长得更快。
- 感染风险:囊肿内部是一个温暖、湿润、有营养的环境,很容易成为细菌滋生的温床,一旦感染,就会导致红、肿、热、痛,甚至形成脓肿。
- 治疗难度增加:囊肿越大,手术切除的范围就需要越大,术后恢复时间也可能更长,长期存在的囊肿,其壁会增厚、纤维化,与周围组织粘连更紧密,增加了手术的难度和风险。
正确的处理方式是什么?
鉴于上述原因,口腔粘液腺囊肿的标准且推荐的治疗方法是手术切除。
- 门诊小手术:这通常是一个在口腔科门诊就能完成的小手术,时间很短,一般采用局部麻醉。
- 手术方式:医生会完整地切除囊肿及其相连的粘液腺,这是为了防止复发,因为如果只把囊肿内容物挤出来或刺破,腺体还在,它还会继续分泌,导致囊肿再次长出来。
- 术后护理:术后需要注意口腔卫生,遵从医嘱,几天内避免吃辛辣、过烫的食物,通常一周左右伤口就能愈合。
总结与建议
| 情况 | 可能性 | 建议 |
|---|---|---|
| 非常小的、刚出现的囊肿 | 有极小的可能自愈 | 可以观察1-2周,期间避免刺激该部位(如咬到、烫到),如果囊肿没有增大甚至变小,可以暂时不管,但一旦变大或反复出现,应立即就医。 |
| 大多数情况(囊肿已形成、反复发作、体积较大) | 基本不会自愈,且可能变大或感染 | 强烈建议尽快就医,进行手术切除,这是最彻底、最有效的治疗方法,可以避免复发和并发症。 |
不要寄希望于口腔粘液腺囊肿能够自愈,把它看作是一个需要处理的“小故障”,而不是一个会自己消失的“小问题”,及时就医,进行专业的诊断和治疗,才是对自己口腔健康最负责任的做法。
(图片来源网络,侵删)
文章版权及转载声明
作者:99ANYc3cd6本文地址:https://www.schc.com.cn/post/7224.html发布于 2025-12-22
文章转载或复制请以超链接形式并注明出处世康健康网



