口腔内有白色粘膜条状
下面我将为您详细解析几种最常见的原因,以及它们各自的特点。
(图片来源网络,侵删)
最常见的原因分析
创伤性溃疡
这是最常见的原因之一,通常是由于物理、化学或热刺激引起的口腔黏膜损伤。
- 特点:
- 形态:通常表现为单个或少数几个,形态不规则,边界清晰,表面有白色或淡黄色假膜(坏死组织覆盖)。
- 位置:最常见于舌头内侧、颊黏膜、唇内侧等容易被牙齿、硬食物(如薯片、坚果壳)、牙刷或假牙摩擦的部位。
- 感觉:通常有明显疼痛感,尤其是在进食或说话时。
- 诱因:回想一下最近是否有咬到舌头、吃过硬的食物、新换的牙冠/假牙不合适、刷牙太用力等情况。
- 发展:通常在去除刺激因素后1-2周内会自行愈合。
口腔白斑
这是一种癌前病变,需要引起高度重视,但并非所有白斑都会癌变。
- 特点:
- 形态:表现为口腔黏膜上的白色斑块,表面粗糙、呈皱纸状或疣状,不易被擦掉。
- 位置:常见于颊黏膜、牙龈、舌腹、口底等部位。
- 感觉:早期通常没有明显疼痛感,部分患者可能感觉局部粗糙、发硬。
- 诱因:与长期吸烟、嚼槟榔、饮酒、摩擦刺激等因素密切相关。
- 警惕:如果白斑区域出现增厚、硬结、出血、溃疡或范围扩大,癌变风险会增加,必须立即就医。
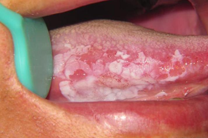
口腔扁平苔藓
这是一种常见的慢性炎症性口腔黏膜病,病因可能与免疫、精神压力、药物、感染等多种因素有关。
- 特点:
- 形态:非常典型,表现为白色、珠光状的条纹或网状图案(称为Wickham纹),有时也会出现白色斑块或丘疹。
- 位置:可发生在口腔任何部位,最常见于颊黏膜(内侧),其次为舌、牙龈、唇等。
- 感觉:部分患者会有烧灼感、粗糙感或刺痛感,尤其在进食辛辣、酸性食物时加重,有时皮肤(如手腕、脚踝)也会出现类似的皮疹。
- 注意:虽然大部分口腔扁平苔藓是良性的,但有少数病例(尤其是萎缩型、糜烂型)存在癌变风险,需要定期复查。
念珠菌病(俗称“鹅口疮”)
由真菌(白色念珠菌)感染引起,常见于免疫力低下者、婴幼儿、戴活动假牙者或长期使用抗生素的人群。
(图片来源网络,侵删)
- 特点:
- 形态:表现为乳白色、豆腐渣样或凝乳状的斑块,可以剥离,剥离后下方是红色糜烂面,并伴有少量出血。
- 位置:常见于上颚、舌、颊黏膜和口角。
- 感觉:可能有口干、味觉改变、灼痛感。
- 诱因:免疫力下降、长期使用激素或抗生素、佩戴不洁假牙、糖尿病控制不佳等。
摩擦性角化症
这是一种良性、生理性的黏膜增厚,长期受到物理摩擦刺激所致。
- 特点:
- 形态:表现为边界清晰、质地致密的白色或灰白色条纹或斑块,与牙齿咬合线相对应。
- 位置:最常见于颊黏膜,与上下牙齿的咬合线位置一致。
- 感觉:通常没有自觉症状。
- 判断:这是身体对长期摩擦的一种适应性反应,一般无需特殊治疗,但建议检查是否有尖锐的牙尖或不良修复体,并去除刺激源。
您应该怎么办?
-
首要步骤:立即就医 这是最重要、最不可替代的一步,请尽快预约口腔黏膜科或口腔颌面外科的医生,医生会通过专业的检查来明确诊断。
-
就医前的自我观察(向医生提供信息) 在去看医生前,您可以留意并记录以下几点,这有助于医生更快地判断病情:
- 出现时间:这个白色条状物是什么时候第一次出现的?
- 变化情况:它的大小、形状、颜色、位置有没有变化?
- 伴随症状:有没有疼痛、烧灼感、麻木感?吃东西、说话时是否受影响?
- 诱因:回想一下近期的生活习惯,比如是否换了牙刷、吃了什么特殊食物、压力是否很大、是否熬夜、吸烟饮酒情况等。
- 全身状况:自己或家人是否有免疫系统疾病、糖尿病等?最近是否在服用某些药物?
-
可能的检查 医生可能会根据情况建议进行:
(图片来源网络,侵删)- 视诊和触诊:最基本也是最重要的检查。
- 活体组织检查(活检):这是诊断“金标准”,医生会取一小块病变组织,送到病理科化验,以明确其性质,特别是怀疑为白斑或癌变时。请不要因为害怕而拒绝活检,这是对自己健康最负责任的做法。
- 涂片检查:怀疑是念珠菌感染时,可能会取标本在显微镜下观察。
口腔内白色粘膜条状物的原因可轻可重,从简单的咬伤到需要密切关注的癌前病变都有可能。
- 如果伴有疼痛,很可能是创伤性溃疡,先观察1-2周,若无好转需就医。
- 如果无痛、呈白色条纹状网状,要高度怀疑口腔扁平苔藓。
- 如果呈粗糙、增厚的斑块状,且与吸烟、嚼槟榔有关,需警惕口腔白斑。
- 如果像豆腐渣一样可以擦掉,可能是念珠菌感染。
再次强调,请不要自行诊断或用药,尽快寻求专业牙医的帮助,明确诊断才是最安全、最有效的选择。
文章版权及转载声明
作者:99ANYc3cd6本文地址:https://www.schc.com.cn/post/7470.html发布于 2025-12-27
文章转载或复制请以超链接形式并注明出处世康健康网



