儿童口腔上颚红斑是何原因?
以下内容仅为科普参考,用于帮助家长初步了解可能的原因。绝不能替代专业医生的诊断。 如果发现孩子口腔上颚有红斑、或其他异常,请务必及时带孩子去看儿科医生或口腔科医生。
(图片来源网络,侵删)
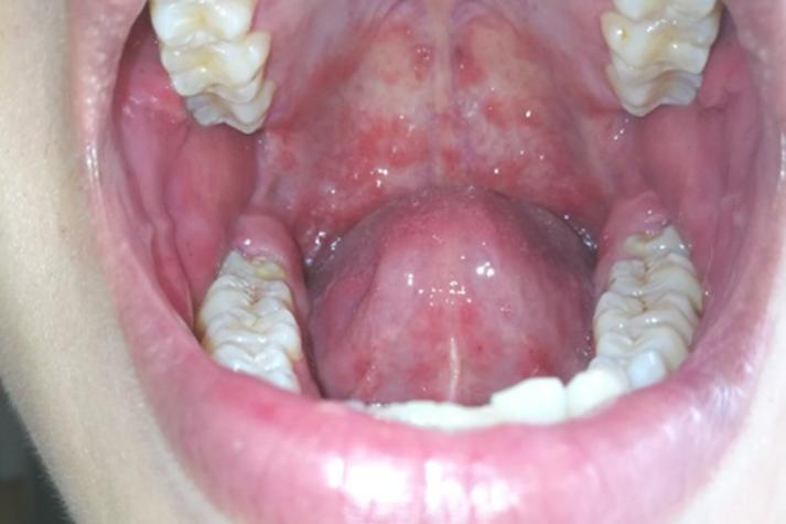
儿童口腔上颚(硬腭)出现红斑,可能由多种原因引起,从轻微的生理现象到需要治疗的感染都有可能,以下是几种最常见的情况,并附上文字描述和特征,帮助您进行初步判断。
鹅口疮 (Thrush / 雪口病)
这是婴幼儿口腔黏膜最常见的真菌感染之一,由白色念珠菌引起。
-
图片特征描述:
- 外观: 口腔上颚、颊部、舌面等处出现乳白色、微凸起的斑片。
- 质感: 斑片看起来像牛奶凝块或豆腐渣,不容易被擦掉。
- 周围黏膜: 红斑(或白色斑片)周围的黏膜通常会有明显的发红、充血。
- 症状: 孩子可能会因为口腔疼痛而拒食、哭闹不安,有时伴有轻微发烧。
-
可能原因:
(图片来源网络,侵删)- 新生儿经产道感染。
- 哺乳期母亲乳头有念珠菌感染。
- 长期或不规范使用抗生素,破坏了口腔内菌群平衡。
- 免疫力低下(如早产儿、营养不良等)。
手足口病 (Hand, Foot, and Mouth Disease, HFMD)
这是一种由肠道病毒引起的常见儿童传染病,除了口腔,手、足、臀部也会出现皮疹。
-
图片特征描述:
- 外观: 早期口腔上颚、舌头、颊黏膜、牙龈等处出现散在的、针尖大小的红色斑丘疹或水疱。
- 发展: 水疱很快会破溃,形成灰白色的小溃疡或糜烂面,周围有一圈红色的晕。
- 疼痛感: 溃疡会引起明显的疼痛,导致孩子流口水、拒食、哭闹。
- 伴随症状: 通常伴有发烧,手、脚、臀部或膝盖处出现典型的皮疹。
-
可能原因:
- 接触了患病儿童的唾液、疱疹液或被污染的物品。
- 夏秋季节高发。
创伤性血疱或溃疡
孩子口腔黏膜娇嫩,不小心被硬物、食物烫伤或咬伤后,容易出现这种情况。
(图片来源网络,侵删)
-
图片特征描述:
- 外观: 在上颚某个特定位置(如硬腭前部,牙齿可能容易碰到的地方)出现一个边界清晰的圆形或椭圆形红斑。
- 初期: 可能是一个鲜红色的血疱,如果较小,家长可能不易察觉。
- 后期: 血疱破裂后形成浅表的溃疡,表面有黄色假膜,周围红肿。
- 特点: 位置固定,通常与孩子的某个不良习惯(如咬硬物、吸吮手指)或意外伤害有关。
-
可能原因:
- 咬伤自己。
- 被坚硬、尖锐的食物(如薯片、饼干)划伤。
- 吮吸手指或玩具导致摩擦损伤。
过敏性反应
孩子可能对某些食物、药物或口腔内的物质产生过敏反应。
-
图片特征描述:
- 外观: 口腔黏膜(包括上颚)出现大面积的、边界不清的鲜红色或紫红色斑片。
- 伴随症状: 可能伴有口腔瘙痒、肿胀,严重时可能出现嘴唇、眼睑肿胀,甚至呼吸困难等全身性过敏反应。
- 诱因: 通常在吃了某种食物(如芒果、菠萝、坚果)或使用了某种药物后迅速出现。
-
可能原因:
- 食物过敏。
- 药物过敏。
- 接触某些化学物质(如新买的牙膏、假牙材料等)。
生理现象或正常变异
有时,一些无害的生理结构也会被误认为是“红斑”。
- 腭皱襞 (Palatal Rugae):
- 外观: 这是上颚前部硬腭上一些横向或斜行的、不规则的黏膜皱褶,它们颜色正常,呈粉红色,是正常的解剖结构,不是病态。
- 特点: 对称分布,形态因人而异,无需任何处理。
总结与建议
| 可能原因 | 主要特征 | 建议处理方式 |
|---|---|---|
| 鹅口疮 | 白色豆腐渣样斑块,不易擦掉,周围黏膜红,疼痛 | 立即就医,医生会开抗真菌药物(如制霉菌素)。 |
| 手足口病 | 发烧,口腔疱疹破溃成溃疡,手、脚、臀有皮疹 | 立即就医,对症治疗(退烧、止痛),注意隔离和护理。 |
| 创伤性溃疡 | 位置固定,有明确外伤史,圆形溃疡 | 保持口腔清洁,避免刺激,一般1-2周自愈,若不愈合或加重,需就医。 |
| 过敏性反应 | 大面积红斑,可能伴有肿胀,有明确接触史 | 立即就医,特别是出现呼吸困难等严重症状时需急诊。 |
| 生理结构 | 腭皱襞,形态不规则,颜色正常,无任何不适 | 无需处理,是正常现象。 |
核心建议:
- 不要自行诊断和用药: 尤其不要随便给孩子用抗生素或抗病毒药,这可能会加重病情或引起副作用。
- 及时就医: 带孩子去看儿科医生或口腔科医生,让专业人士进行检查和诊断。
- 观察并记录信息: 在看医生前,可以观察并记录以下信息,帮助医生更快判断:
- 出现时间: 红斑是什么时候出现的?
- 变化过程: 是一直这样,还是从小变大、从白变红?
- 伴随症状: 孩子有没有发烧、哭闹、拒食、流口水?
- 接触史: 最近吃了什么新食物、新药物?有没有被咬伤或烫伤?有没有接触过生病的孩子?
孩子的健康无小事,请务必给予足够的重视。
文章版权及转载声明
作者:99ANYc3cd6本文地址:https://www.schc.com.cn/post/7491.html发布于 2025-12-27
文章转载或复制请以超链接形式并注明出处世康健康网



