口腔扁平苔藓癌变征兆有哪些?
了解癌变的征兆,对于早期发现、早期治疗至关重要,以下是需要高度警惕的口腔扁平苔藓癌变征兆,您可以将它们归纳为“变、痛、硬、烂、大”五个字。
(图片来源网络,侵删)
核心预警信号(出现任何一项都应立即就医)
形态和颜色的改变
-
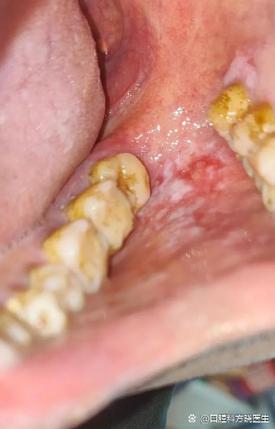
白色斑块增厚、变硬:
- 典型表现: 原来是网状、条纹状的白色花纹,突然在某一部分变得非常厚实、粗糙,像纸一样硬,或者摸起来感觉像砂纸。
- 警惕点: 这种白色斑块无法被擦掉,边界不清,可能与周围黏膜没有明显界限。
-
出现非典型性红斑:
- 典型表现: 在白色条纹或斑块的背景上,或者在原本没有病变的区域,出现界限不清、天鹅绒样或颗粒状的红色斑块,这种红色区域不同于正常的黏膜红色,颜色可能更深或更浅,且不均匀。
- 警惕点: 这是癌变过程中非常危险的信号,因为红色区域代表黏膜正在发生异常增生。
-
颜色发生戏剧性变化:
- 典型表现: 病损区域的颜色突然发生改变,比如白色部分突然变红,或者红色部分突然出现白色斑点,颜色混杂不清,失去原有的规律性。
疼痛性质的改变
-
持续性、自发性疼痛:
(图片来源网络,侵删)- 典型表现: 原来可能只是吃刺激性食物时才疼痛,现在转变为持续性的疼痛,不碰也疼,疼痛性质可能是烧灼感、刺痛感或钝痛。
- 警惕点: 这种疼痛常规治疗(如漱口水、激素药)效果不佳,甚至逐渐加重。
-
疼痛范围扩大:
- 典型表现: 疼痛不再局限于原来的病损区域,而是向周围扩散,甚至引起耳部、头部、颞下颌关节等部位的牵涉痛。
质地和硬度的改变
- 病损区域变硬:
- 典型表现: 用手触摸病损区域,感觉其基底变硬,与周围组织粘连,活动度变差,黏膜下似乎有硬结。
- 警惕点: 这是组织深层发生浸润性增生的表现,是癌变的直接体征之一。
溃疡经久不愈
- 典型表现: 病损区域出现糜烂或溃疡,并且这种溃疡超过2周仍不愈合,或者愈合后又反复在同一位置出现。
- 警惕点:
- 溃疡边缘不规则,呈火山口样。
- 溃疡基底凹凸不平,有颗粒状或菜花样的新生组织。
- 触之易出血。
功能障碍
- 典型表现: 由于病变范围扩大、组织变硬或疼痛,导致出现开口困难、吞咽困难、说话不清等功能障碍。
- 警惕点: 这通常是病变已经侵犯到深层肌肉、关节或舌体等部位,是比较晚期的信号。
需要特别警惕的OLP类型
- 糜烂型/萎缩型OLP: 这是最容易发生癌变的类型,表现为鲜红色、糜烂的创面,周围可能有白色条纹环绕,疼痛明显,愈合困难。
- 长期不愈的OLP: 病程长(超过5年),且反复发作,治疗效果不佳的病例,癌变风险相对较高。
- 伴有念珠菌感染的OLP: 白色念珠菌的长期慢性刺激,被认为是OLP癌变的一个重要协同因素。
总结与行动建议
一句话总结:如果您的口腔扁平苔藓出现了“形态怪异、颜色混杂、疼痛不止、局部变硬、溃疡不愈”中的任何一种或多种情况,请务必立即到医院的口腔黏膜科或口腔颌面外科就诊,进行专业的评估。
医生可能会做什么?
- 临床检查: 医生会用肉眼观察,并用手触摸病变区域,评估其质地、硬度和边界。
- 甲苯胺蓝染色: 一种染料,可以帮助识别可疑的癌变区域(癌变区域会被染成深蓝色)。
- 活体组织病理检查(活检): 这是诊断金标准,医生会取一小块病变组织,送到病理科在显微镜下检查,以明确是否已经发生癌变或存在癌前病变(如重度异常增生)。
重要提醒:
(图片来源网络,侵删)
- 不要恐慌: 绝大多数口腔扁平苔藓不会癌变,定期复查和遵医嘱治疗是关键。
- 不要忽视: 癌变是一个从量变到质变的过程,早期发现和干预,治愈率非常高,对上述征兆保持高度警惕至关重要。
- 戒烟戒酒: 烟酒是口腔癌明确的危险因素,会显著增加OLP的癌变风险,患者必须严格戒除。
文章版权及转载声明
作者:99ANYc3cd6本文地址:https://www.schc.com.cn/post/8969.html发布于 01-17
文章转载或复制请以超链接形式并注明出处世康健康网



