尖锐湿庞会长在口腔吗?
是的,尖锐湿疣(也被称为“菜花”)会长在口腔里。
(图片来源网络,侵删)
这是一个非常重要且需要严肃对待的问题,下面为您详细解释:
口腔尖锐湿疣的病因
口腔尖锐湿疣同样由人乳头瘤病毒感染引起,最常见的是HPV-6型和HPV-11型,这些病毒属于“低危型”,主要引起良性病变,如尖锐湿疣,而不是导致宫颈癌的高危型HPV。
感染的主要途径是口交,当与生殖器或肛门区域有尖锐湿疣的伴侣进行无保护的口交时,病毒可以通过口腔黏膜的微小破损进入体内,从而导致口腔感染。
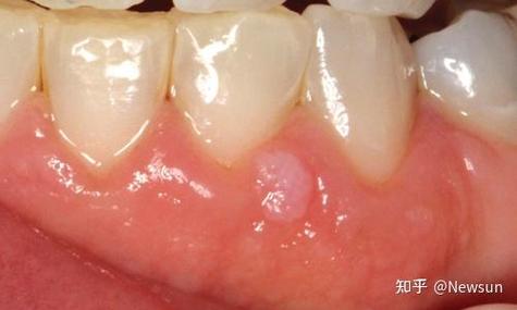
口腔尖锐湿疣的外观特征
口腔内的尖锐湿疣通常有以下特点:
(图片来源网络,侵删)
- 位置:最常见于软腭、悬雍垂(小舌头)、舌下系带、牙龈、颊黏膜和嘴唇内侧,喉部(声带)也可能发生,但相对少见。
- 外观:
- 初期:可能表现为单个或多个微小的、淡红色或粉红色的丘疹,质地柔软,有时不易察觉。
- 典型形态:随着病情发展,会逐渐增大、增多,形成菜花状、乳头状或鸡冠状的赘生物。
- 颜色:颜色多为白色、粉红色或灰白色。
- 触感:通常无痛,但触摸时可能有颗粒感或粗糙感,如果继发感染,可能会出现疼痛、出血或异味。
- 大小:大小不一,从几毫米到几厘米都有可能。
如何诊断口腔尖锐湿疣?
强烈建议不要自行诊断! 口腔内有很多其他疾病也可能看起来像尖锐湿疣,
- 乳头状瘤:一种常见的良性口腔肿瘤。
- 化脓性肉芽肿:容易出血的增生性病变。
- 口腔纤维瘤。
- 黏膜白斑。
- 某些口腔癌前病变或早期癌症。
正确的做法是: 一旦发现口腔内有不明增生物,应立即去医院就诊,医生通常会通过以下方式进行诊断:
- 视诊:医生根据其典型外观进行初步判断。
- 醋酸白试验:用醋酸溶液涂抹患处,如果病变区域变白,则可能为尖锐湿疣(此方法在口腔的准确性不如在生殖器区域高)。
- HPV核酸检测:通过PCR等方法检测病变组织中是否存在HPV DNA,这是最准确的诊断方法之一。
- 病理活检:取一小块组织进行病理学检查,这是诊断的“金标准”,可以明确诊断并排除恶性病变。
如何治疗口腔尖锐湿疣?
治疗口腔尖锐湿疣比治疗生殖器部位的难度更大,因为口腔环境特殊,黏膜娇嫩,恢复较慢,治疗方法包括:
- 物理治疗:
- 激光治疗:常用二氧化碳激光,精确度高,创伤相对较小,是目前最常用的方法之一。
- 冷冻治疗:利用液氮冷冻,但可能损伤周围正常组织,且复发率较高。
- 电灼治疗:用电烧灼去除疣体。
- 外用药物:由于口腔的特殊性,很多外用药物(如咪喹莫特乳膏)不适用于口腔黏膜,医生可能会开具一些特殊的药物,但需谨慎使用。
- 手术切除:对于较大或基蒂宽的疣体,可考虑手术切除。
- 光动力治疗:这是一种较新的治疗方法,通过光敏药物和特定光源来选择性地破坏病变组织,对周围正常组织损伤小,但费用较高。
治疗注意事项:
(图片来源网络,侵删)
- 复发率高:口腔尖锐湿疣治疗后复发率相对较高,需要遵医嘱定期复查。
- 伴侣同治:性伴侣需要一同检查和治疗,以防交叉感染。
- 预防再次感染:治疗期间和恢复后,应避免口交,或全程正确使用安全套(虽然不能完全覆盖所有感染区域,但能显著降低风险)。
如何预防?
预防的关键在于切断传播途径:
- 固定性伴侣:保持健康的性生活,避免与多个性伴侣发生关系。
- 使用安全套:在进行口交时,即使对男性使用安全套,也能有效降低感染风险,对于女性,可以使用专门的“口交膜”(Dental Dam)覆盖外阴或肛门区域。
- HPV疫苗接种:接种HPV疫苗是预防HPV感染最有效的手段之一,虽然现有疫苗主要针对高危型HPV,但也能预防部分低危型(如HPV-6/11),从而有效预防尖锐湿疣,建议适龄人群尽早接种。
- 注意口腔卫生:保持良好的口腔卫生习惯,避免口腔黏膜出现破损。
尖锐湿疣会长在口腔,主要通过口交传播。 如果发现口腔内有不明原因的增生物,切勿自行判断或用药,应立即寻求专业医生的帮助进行明确诊断和治疗,注意个人卫生和性行为安全,是预防的关键。
文章版权及转载声明
作者:99ANYc3cd6本文地址:https://www.schc.com.cn/post/5644.html发布于 2025-12-07
文章转载或复制请以超链接形式并注明出处世康健康网



