小孩口腔上颚血红点是何原因?
下面我将为您详细分析可能的原因、应对方法以及何时需要就医。
(图片来源网络,侵删)
可能的原因分析
物理刺激(最常见)
这是最常见且通常无害的原因。
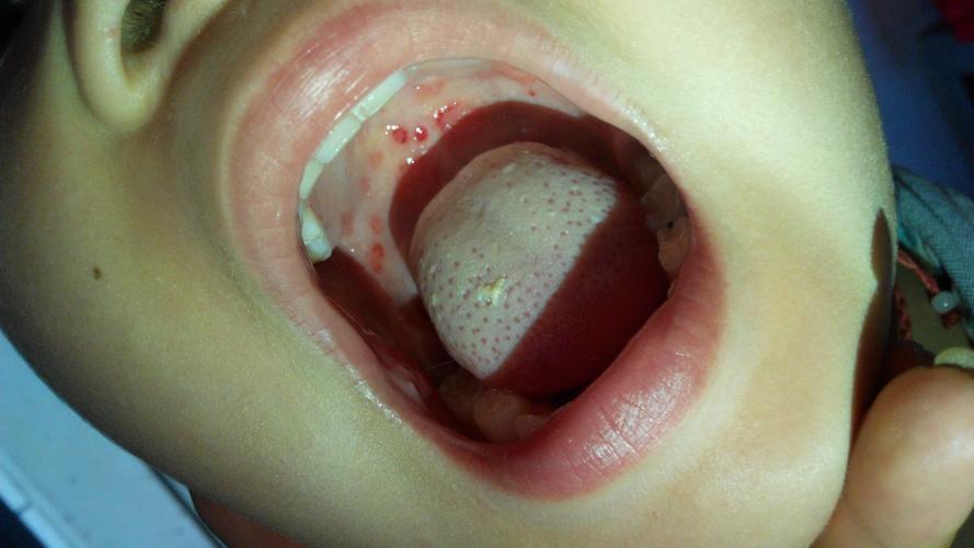
- 进食硬物或烫食:孩子吃了比较硬的食物(如薯片、坚果、饼干边)或过烫的食物,可能会轻微划伤或烫伤上颚黏膜,导致毛细血管破裂,形成小红点或小血泡,这些红点通常会在几天内自行吸收消失。
- 吸吮动作:用力吸吮奶瓶、安抚奶嘴,或者频繁吮吸手指,也可能导致上颚血管扩张或出现淤点。
病毒或细菌感染
感染是另一个常见原因,通常会伴有其他症状。
- 病毒感染:
- 手足口病/疱疹性咽峡炎:这是学龄前儿童非常常见的疾病,除了口腔上颚,手、脚和臀部也可能出现皮疹,口腔内会伴有疼痛、流口水、拒食、发烧等症状,红点可能是小丘疹或疱疹。
- 病毒性感冒/流感:高烧可能导致血管脆性增加,出现瘀点,有时病毒本身也会引起口腔黏膜的炎症反应。
- 细菌感染:
- 猩红热:除了红点,通常还伴有高烧、喉咙痛、全身弥漫性皮疹(“砂纸样”皮疹)和“草莓舌”。
- 链球菌感染:也可能导致咽炎和口腔黏膜点状出血。
血液或凝血问题(相对少见但需警惕)
如果红点不是由外伤或感染引起,且数量多、范围广,需要考虑是否有血液系统的问题。
- 血小板减少:血小板负责凝血,如果数量减少,容易出现自发性出血点,表现为皮肤或黏膜上的瘀点、瘀斑,口腔上颚是常见部位之一。
- 其他凝血功能障碍:如血友病等,但通常伴有更明显的出血倾向,如刷牙时牙龈出血严重、流鼻血不止等。
营养因素
- 维生素C缺乏(坏血病):虽然现在非常罕见,但严重缺乏维生素C会导致胶原蛋白合成障碍,使毛细血管壁脆弱,容易破裂出血,除了红点,还可能伴有牙龈出血、伤口愈合慢等症状。
过敏反应
对某些食物、药物或牙膏的过敏,也可能引起口腔黏膜的炎症反应,出现红点、肿胀或瘙痒。
(图片来源网络,侵删)
家长可以怎么做?(家庭护理和观察)
在不确定原因或情况不严重时,您可以先进行家庭观察和护理:
- 保持口腔清洁:饭后用温水或温盐水轻轻漱口,清除食物残渣,防止继发感染。
- 调整饮食:
- 避免给孩子吃过硬、过烫、辛辣或酸性的食物,以免刺激伤口。
- 选择温凉、柔软、易吞咽的食物,如粥、烂面条、酸奶等。
- 多喝水,保持口腔湿润。
- 避免刺激:暂时不要使用安抚奶嘴,吸吮动作可能会加重红点。
- 密切观察:
- 数量和变化:红点是变多了还是变少了?有没有扩大或融合?
- 伴随症状:孩子有没有发烧、哭闹、流口水、拒食、精神萎靡、手脚或身上有没有出疹子?
- 全身状况:观察孩子身上其他部位(如胸部、四肢)是否有类似的“小红点”或瘀斑。
什么情况下需要立即就医?
如果出现以下任何一种“危险信号”,请不要犹豫,立即带孩子去看医生(儿科或口腔科):
- 高烧不退:体温持续超过38.5℃。
- 精神状态差:孩子显得异常烦躁、哭闹不止,或者精神萎靡、嗜睡。
- 严重拒食:因为口腔疼痛而拒绝进食、饮水,有脱水风险(如嘴唇干燥、小便减少)。
- 红点迅速增多或扩散:不仅在上颚,口腔其他部位(如牙龈、舌头、内颊)甚至全身皮肤都出现了红点或瘀斑。
- 伴有其他典型症状:如手脚出现皮疹(警惕手足口病)、喉咙剧痛、全身皮疹等。
- 反复出血:除了红点,还有明显的牙龈出血、鼻血等。
- 红点持续超过一周:没有好转的迹象。
医生可能会做什么?
医生会通过问诊和检查来诊断:
- 询问病史:详细了解孩子的饮食、近期生病情况、有无外伤等。
- 体格检查:仔细检查口腔、咽喉、皮肤,寻找其他部位的皮疹或体征。
- 必要时进行化验:可能会建议进行血常规检查,特别是血小板计数,以排除血液系统问题,如果是怀疑病毒感染,可能会根据情况进行其他相关检查。
小孩口腔上颚有血红点,最常见的原因是物理刺激,通常可以自愈,家长应先做好家庭护理,并密切观察孩子的整体状况。
(图片来源网络,侵删)
关键在于判断是否伴有其他“危险信号”,如果孩子精神好、能吃能喝、没有发烧,大概率问题不大,一旦出现发烧、精神差、全身皮疹等情况,务必及时就医,让专业医生来判断,不要自行给孩子用药,尤其是抗生素。
希望这些信息能帮助到您!祝宝宝早日康复!
文章版权及转载声明
作者:99ANYc3cd6本文地址:https://www.schc.com.cn/post/6896.html发布于 2025-12-18
文章转载或复制请以超链接形式并注明出处世康健康网



