口腔内壁发白是何原因?

生理性或轻微原因(通常无需过度担心) 摩擦或烫伤(图片来源网络,侵删) 原因:不小心被坚硬的食物(如薯片、坚果壳)划伤,或者吃了过烫的食物(如火锅、热汤)导致黏膜轻微烫伤。 特征:通常在特定部位出现一片或几片白色区域,可能伴有轻微疼痛,一般几天内会自行愈合。 处理:避免刺激,保持口腔卫生,可以观察几...

口腔内壁发白是何原因?

生理性/暂时性原因(通常无需过度担心) 这类原因通常是暂时的,去除诱因后会自行恢复。(图片来源网络,侵删) 摩擦或刺激: 原因:不小心被坚硬的食物(如薯片、坚果壳)划伤,或者假牙、牙套、牙齿不规整的边缘长期摩擦口腔黏膜。 表现:局部发白,可能伴有轻微疼痛或不适,像一层“膜”。 处理:避免刺激,保持口...

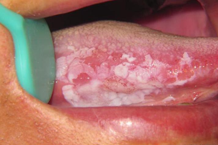
口腔壁白色黏膜是何问题?

为了帮助您更好地理解,我将这些原因分为三大类:正常生理现象、良性病变、以及需要警惕的疾病。(图片来源网络,侵删) 正常生理现象(无需担心) 皮脂腺异位 特点:这是最常见的“白色”情况,它不是疾病,而是一种正常的生理变异,表现为口腔黏膜(如颊内侧、嘴唇内侧、牙龈上)出现针头大小、淡黄色或淡白色的扁平小...
  • 1
  • 共 1 页